Month: April 2024

Intact MS from a Biologist’s Perspective

April 24, 2024

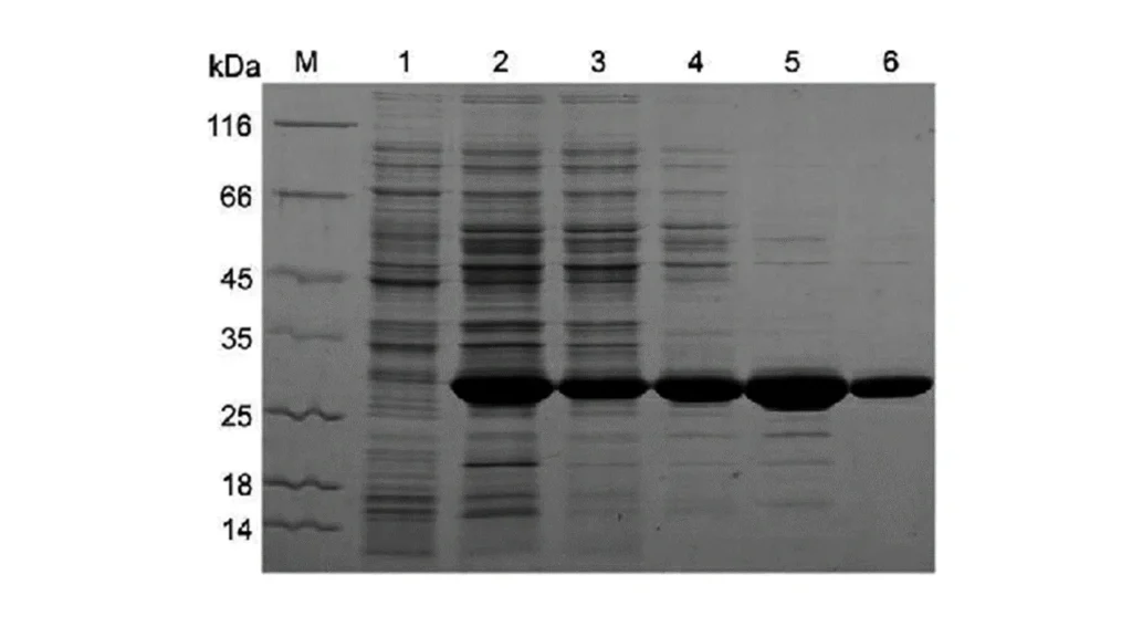
Matthew Crawford, MS A question that arises frequently when discussing intact protein analysis by mass spectrometry (MS) is “why should we do mass spec analysis on intact proteins when we already have gel?†The short answer is that mass spectrometry,…